CME INDIA Case Presentation by Dr. Varun Kumar, DM Card., Santevita Hospital, Ranchi.

CME INDIA Case Study

Based on CME INDIA WhatsApp group discussion.

42 Yr. Old Male Patient with Left Sided Chest Pain of 1 Day Duration

How Presented?

  • 42-Yr-Old male patient with left sided chest pain of 1 day duration.
  • Echo normal & trop t negative.
  • What could be the reason?
  • Is ECG suggestive of anything?
Puzzle: 42 Yr. Old Male Patient with Left Sided Chest Pain of 1 Day Duration

CME INDIA Comments

  • Dr. N. K. Singh: Looks not very significant.
  • Dr. Deepak Gore, MD (Medicine), Nanded, Maharashtra: Within normal limits. Please do a chest X-ray.

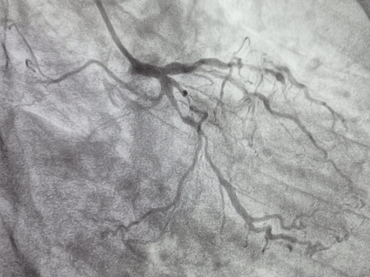
Dr. Varun Kumar posts Coronary Angiography

Echo

Puzzle: 42 Yr. Old Male Patient with Left Sided Chest Pain of 1 Day Duration
Puzzle: 42 Yr. Old Male Patient with Left Sided Chest Pain of 1 Day Duration

Findings of CAG

  • Patient has extensive triple vessel disease with total occlusion of mid LAD. LCX diffuse 90% & RCA diffuse 90% stenosis & distal RCA total occlusion.

Detailed Commentary by Dr. D. P. Khaitan on Chronic Stable Angina and Potential Transition to Unstable Angina:

  1. Chronic Stable Angina and Collateral Circulation:
    • Stable Angina: Patients with chronic stable angina and well-developed collateral circulation might not exhibit anginal symptoms under normal conditions.
    • Transition to Unstable Angina: Despite stable angina, these patients can suddenly develop unstable angina if an atheromatous plaque ruptures and leads to thrombosis. This process might not be extensive enough to cause a myocardial infarction (MI) but can still result in significant clinical symptoms.
  2. Current Case Analysis:
    • Recent Symptoms: The patient has a one-day history of anginal pain, suggesting unstable angina.
    • Diagnostic Tests: Negative enzyme study results indicate no myocardial necrosis. Subtle horizontal ST depression primarily in leads V5-6, with minor changes in inferior leads, points to possible coronary artery disease (CAD).
    • ECG Findings:
      • Tall T Wave in V2: This might indicate CAD, but the absence of a corresponding tall T wave in V1 makes this finding inconclusive.
      • Rest Angina: The presence of rest angina suggests a heightened risk of progression to MI.
  3. Prognosis and Management:
    • Unstable Angina: Given the recent onset of symptoms and the ECG findings, there is a significant risk that this could escalate to MI.
    • Coronary Circulation Complexity: Predicting the exact behavior of coronary circulation in such cases is challenging due to the intricate nature of the coronary network.
    • Recommendation: Considering the potential risk, coronary revascularization might be a prudent course of action to prevent further complications.

Dr. Khaitan emphasizes the importance of understanding the nuances of angina and coronary circulation, advocating for proactive management to mitigate the risks of progression to more severe cardiac events.

Prompt for Coronary Angiography (CAG):

  • Dr. Varun Kumar: Emphasized that coronary artery disease (CAD) can be misleading with normal ECG, Echo, and Trop T findings. Symptoms are most crucial for identifying cardiac origin chest pain.
  • Dr. Deepak Gore: Agreed that sometimes ECG and Echo are normal, but angiography reveals significant lesions. Suggested that late manifestations of congenital anomalies could be a factor.
  • Dr. S. K. Goenka: Noted that initial ECGs might not detect underlying ischemia due to collateral circulation. Serial ECGs can later show signs.

Risk Factors:

  • Dr. Varun Kumar: Mentioned there were no specific risk factors identified for this case.
  • Discussion on Diagnostic Challenges:
    • ECGs and other non-invasive tests might be normal in chronic conditions due to collateral development.
    • In remote areas, reliance on ECG can delay proper diagnosis.
    • The diffuse nature of the lesions and the patient’s young age were surprising.
  • Dr. Varun Kumar also explained that the balancing of electrical vectors in different coronary territories can result in a normal ECG despite significant coronary blockages. The resolution of chest pain with anti-anginal therapy confirmed the cardiac origin of the pain. He highlighted that coronaries often present surprising scenarios and that as an interventionist, correlating clinical, ECG, and angiographic findings helps understand these presentations.

Understanding Symptoms and Angina in CAD:

  • Dr. Varun Kumar: Stressed that not everything can be explained logically. As coronary reserves decrease, resting or low effort angina can develop.
  • Dr. Praveen Shukla: Explained that partial thrombosis typically causes NSTEMI, while total thrombosis leads to STEMI. Mentioned that in triple vessel disease, the ECG might remain normal due to balanced electrical vectors.
  • Dr. D. P. Khaitan: Added that unstable angina can occur prior to NSTEMI or STEMI due to partial thrombosis.
  • Dr. Praveen Shukla: Discussed that in ischemia, depolarization vectors can shift, causing changes in the QRS and ST segments, which can indicate STEMI or NSTEMI.
  • Dr. D. P. Khaitan: Emphasized the importance of analyzing the QRS-T angle and the ST vector to understand electrical axis changes and their implications in diagnosing CAD.

Collateral Circulation:

  • Dr. D. P. Khaitan: Noted that the presence of collaterals can influence electrical vectors and the presentation of ECG findings, making the diagnosis of angina more complex.
  • Dr. Praveen Shukla: Highlighted that in cases of severe triple vessel disease, collateral circulation might keep the ECG normal despite significant underlying pathology.

Clinical Observations and Considerations:

  • Dr. Noni G Singha: Highlighted the difficulty of motivating for an angiogram with near-normal non-invasive tests. Suggested considering a CT CAG or vasculitis (e.g., PAN) of coronary arteries.
  • Dr. Anshul Singhai: Questioned about additional risk factors for ASCVD (Atherosclerotic Cardiovascular Disease).
  • Dr. Varun Kumar: Emphasized the importance of symptoms such as exertional chest pain, dyspnoea, syncope, and atypical pain locations (arms, epigastric, neck, jaws, back) in diagnosing CAD. Stressed that normal ECGs and Echos can be misleading, and clinical judgment is crucial.
  • Dr. Singh: Acknowledged the difficulty in diagnosing such cases and requested guidance from Dr. Varun.
  • Dr. Pradeep Sahay: Shared a case where delayed referral led to a patient’s death, highlighting the importance of prompt action based on clinical suspicion.

Clinical Observations and Diagnostic Challenges:

  • Dr. Varun Kumar: Stressed that clinical acumen is vital, and investigations should support, not replace, clinical judgment. Mentioned a 42-year-old patient with no specific risk factors but with a history of exertional chest pain, suggesting that chronic conditions can present without typical risk markers.
  • Dr. Singh: Asked about the association between red meat consumption and CAD.
  • Dr. Noni G Singha: Explained that daily meat consumption can lead to atherogenesis due to lipolytic bacteria.
  • Dr. Sudipta Mondal: Suggested that even with normal resting ECG, intermediate or high clinical suspicion of CAD warrants further testing like CT CAG or TMT.
  • Dr. Singh: Noted that TMT might miss moderate lesions and emphasized clinical judgment.

Dr. Varun Kumar: Highlighted the importance of considering all symptoms and risk factors. In the discussed case, the patient’s normal non-invasive tests were contrasted with significant exertional chest pain, suggesting underlying CAD.

  • Dr. Praveen Shukla,DM (Card): Pointed out that in patients with triple vessel disease, collaterals cannot provide normal blood flow, leading to exertional or even resting chest pain without the need for plaque rupture.
  • Dr. Pradipta Mohapatra on the Potential Causes and Management of Recent Chest Pain in Chronic Ischemic Patients: In patients with chronic ischemic heart disease, the sudden onset of chest pain raises important questions regarding its origin and appropriate management:

  1. Identifying the Cause:
    • Culprit Vessel: Chronic vessel occlusion typically accompanied by well-developed collaterals does not usually result in new chest pain. If the pain is of cardiac origin, it suggests an acute blockage in a vessel.
    • Clinical Evidence: Sometimes, clinical suspicion alone isn’t enough to confirm ischemia. This can be especially challenging when troponin levels are negative and serial ECGs show no significant changes. However, many of these patients eventually present with acute events, revealing ECG changes and elevated cardiac enzymes, making it easier to pinpoint the culprit vessel.
  2. Potential Culprit Artery:
    • Determining which artery might be causing the issue is crucial. Understanding whether the chest pain is directly related to the angiographic findings can guide further management decisions.
  3. Intervention Strategies:
    • Fractional Flow Reserve (FFR): Utilizing FFR could help in assessing the functional significance of any coronary lesions and deciding if an intervention is necessary.
    • Perfusion Scan: This can provide additional insights into myocardial blood flow and help in identifying areas of ischemia.
  4. Link Between Chest Pain and Angiographic Findings:
    • It’s important to consider whether the chest pain experienced by the patient is directly related to the findings observed during angiography. This correlation can influence the decision-making process regarding intervention and treatment.

      Dr. Pradipta Mohapatra highlights the complexity of managing recent chest pain in chronic ischemic patients and emphasizes the importance of thorough diagnostic evaluations, including the use of FFR and perfusion scans, to guide effective intervention strategies.

      General Agreement:

      Clinical acumen is crucial in diagnosing CAD, especially when non-invasive tests are inconclusive.
      Symptoms should guide the decision for further invasive diagnostics like CAG.
      Understanding atypical presentations of CAD can prevent misdiagnosis and delayed treatment.
      There is a consensus on the need for more clinical insights in situations where non-invasive tests are inconclusive but symptoms persist.
      Overall, the conversation underscores the importance of thorough clinical evaluation and awareness of atypical symptoms in diagnosing coronary artery disease, emphasizing that reliance solely on non-invasive tests can be misleading.

      CME INDIA Key Points

      1. Importance of Clinical Acumen: Reliance on symptoms and clinical judgment is crucial in diagnosing CAD, especially when ECGs and other tests are normal.
      2. ECG Interpretation: The electrical vector balance can result in normal ECGs in patients with significant coronary blockages, emphasizing the need for comprehensive clinical correlation.
      3. Learning and Collaboration: Continuous learning and sharing of knowledge through discussions and case studies are essential for medical professionals.
      4. The discussion underscores the complexity of diagnosing CAD, the importance of integrating clinical findings with diagnostic tools, and the value of collaborative learning.

      CME INDIA Take Home on RED Meat Consumption

      • In a community-based cohort study of older U.S. adults aged 65 and above, higher consumption of unprocessed red meat, total meat (including both unprocessed red meat and processed meat), and total animal source foods was linked to a higher incidence of atherosclerotic cardiovascular disease over a median follow-up period of 12.5 years.
      • These associations were partially mediated (8%–11% of the excess risk) by plasma levels of gut microbiota-generated metabolites, such as trimethylamine N-oxide and its two intermediates derived from L-carnitine, which is abundant in red meat.
      • The increased risk of atherosclerotic cardiovascular disease associated with meat intake was also partly mediated by disruptions in glucose-insulin homeostasis and systemic inflammation, but not by blood pressure or blood cholesterol levels.
      • Intakes of fish, poultry, and eggs were not significantly associated with atherosclerotic cardiovascular disease

      References:

      1. Kaolawanich, Y., Thongsongsang, R., Songsangjinda, T. et al. Clinical values of resting electrocardiography in patients with known or suspected chronic coronary artery disease: a stress perfusion cardiac MRI study. BMC Cardiovasc Disord 21, 621 (2021). https://doi.org/10.1186/s12872-021-02440-5
      2. Meng Wang, Zeneng Wang,Yujin LeeDietary et al. Meat, Trimethylamine N-Oxide-Related Metabolites, and Incident Cardiovascular Disease Among Older Adults: The Cardiovascular Health StudyArteriosclerosis, Thrombosis, and Vascular BiologyVolume 42, Issue 9, September 2022; Pages e273-e288.https://doi.org/10.1161/ATVBAHA.121.316533


      Discover CME INDIA:

      Discover CME INDIA