CME INDIA Case Study
54yr. old with multiple symptoms and SOB for past 10 years
CME INDIA Case Presentation by Dr Ashutosh Chandan Dubey (Dr Strange), DNB (Med), Renukut, UP. CME INDIA Case Study: 54-year-old female with productive cough, multiple bouts of haemoptysis, chest pain and SOB for past 10 years. What it looks like: Dr Ravishankar...
Recurrent Syncope with this ECG: How to Proceed?
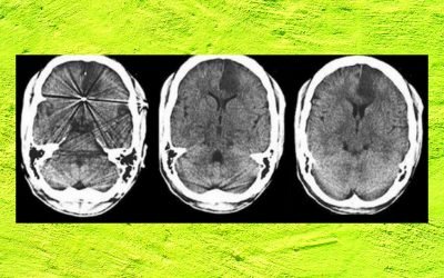
CME INDIA Case Presentation by Dr Deepak Gupta, DM, Card., Pulse Hospital, Ranchi. CME INDIA Case Study: (Case courtesy CSI-Jharkhand) 60 yr. female. c/o Recurrent syncope... CT brain normal. What's next?Being investigated for last 15 days.Advised by neurosurgeon.MRI...
Redness on the sides of tongue, What is the diagnosis?
CME INDIA Case Presentation by by Dr B. Harish Darla, MRCP, Endo UK, MRCP, Medicine. FRCP, MNAMS, Internal Medicine, Post graduate Diploma in Diabetology and Endo, UK. Darla’s Health Care, Mysore, India. CME INDIA Case Study: 42 yrs. old, Type 2 DM for 2 yrs. on...
Right Lung Massive Opacity, SOB, Pyrexia and Raised Count: What could it be?
CME INDIA Case Presentation by Dr Deepak Gupta, DM, Card, Pulse Hospital, Ranchi. CME INDIA Case Study: Case presented in CSI, Jharkhand and CME INDIA groups In this COVID era, Severe SOB. Fever, high count. Patient presented with chest pain on 30th October, 2020....
Take a step backward to move forward
CME INDIA Case Presentation by Dr B. Harish Dalra, MRCP, Endo UK, MRCP, Medicine. FRCP, MNAMS, Internal Medicine, Post graduate Diploma in Diabetology and Endo, UK. Dalra’s Health Care, Mysore, India. CME INDIA Case Study: How you proceed with these complains? 28 yrs....
Developed Pyrexia, then lesions. What is happening?
CME INDIA Case Presentation by Admin. CME INDIA Case Study: Developed Pyrexia, 5 days back. Took antibiotics and vitamins. Noticed yellow colour of urine after taking drugs…. Village practitioner thought yellow colour of urine as jaundice…. went for further treatment...
Married 32 yr. old male referred for Erectile Dysfunction
CME INDIA Case Presentation by Dr B. Harish Dalra, MRCP, Endo UK, MRCP, Medicine. FRCP, MNAMS, Internal Medicine, Post graduate Diploma in Diabetology and Endo, UK. Darla’s Health Care, Mysore, India. CME INDIA Case Study: Married 32 yr. old male and was referred for...
COVID-19 and Post Stent Thrombosis: What to do?
CME INDIA Case Presentation by Dr Ritesh Kumar, DM, Cardiology, Ranchi. CME INDIA Case Study: Acute Inferior wall MI, PCI done. Later, developed COVID-19 and Stent Thrombosis. A 45 yrs. old diabetic lady of 50 kg came to me 15 days back with acute chest pain for 5...
21 yrs old with Lesions. What is the Diagnosis?
CME INDIA Case Presentation by Dr Neel, DNB, Medicine, Jamshedpur. CME INDIA Case Study: 21 yrs old with lesions like this for years, no itching, not on any specific medications. What is the Diagnosis? CME INDIA Discussion Dr S K Goenka, Begusarai: It is most...
Two Cases of Pyrexia of Unknown Origin
CME INDIA Case Presentation by Dr Mritunjay Kumar Singh, Nephrologist Physician, Secretary, National CCDSI, HQ, Gaya. CME INDIA Case Study: Knowledge is a process of piling up facts, wisdom lies in their simplification. - Martin H Fischer Two cases of SLE nephritis,...
ECG, Acute Faccid Quadriparesis and Low K – What’s Next?
CME INDIA Case Presentation by Dr Varun Kumar, DM Card., Orchid Medical Centre, Ranchi. CME INDIA Case Study: (Inputs from CSI-Jharkhand) Dr Varun Kumar, DM Card., Ranchi: 51 yr. old male presented with acute onset flaccid quadriparesis... he is a known hypertensive...
Spot the Diagnosis of the Hypertrophy of Calf Muscle
CME INDIA Case Presentation by Dr Ashutosh Chandan Dubey (Dr Strange), DNB, Medicine, Renukut (UP). CME INDIA Case Study: Important Points: A 22 yr. old male has come with complaints of palpitation for past 2 days at night. No associated chest pain or SOB.No sensory,...
What kind of heart block is going on?
CME INDIA Case Presentation by Dr Neeraj, DNB, Med, Jamshedpur. CME INDIA Case Study: Patient with giddiness and headaches for 1 day. What kind of heart block is going on? Intermittent 2:1 it looks like to me, says Dr Neeraj. CME INDIA Discussion: Dr Satish Kumar,...
9 Weeks Twin Pregnancy. Now TSH 0.24, T4 16.2, on Thyroxin 62.2mcg. Will you increase or decrease the dose?
CME INDIA Case Presentation by Dr Meenakshi Sahapathi, DNB Family Med, Faridabad. CME INDIA Case Study: Please comment on dose of thyroxine in patient having twin pregnancy with 9 weeks period of gestation. Was initially on 37.5 mcg of thyroxine. At confirmation of...
Young Doctor with Recurrent Stroke: A Diagnostic and Therapeutic Dilemma.
CME INDIA Case Presentation Dr Deepak Gupta, DM, FESC, FSCAI, FACC, Director Cardiac Sciences Pulse Superspeciality Hospital, Ranchi. CME INDIA Case Study: 50yr old male develops CVA while swimming in club at Varanasi, strong family history of stroke in young. He is...
Diagnose this Echo Clip
CME INDIA Case Presentation by Dr Deepak Gupta, DM Card, Pulse Hospital, Ranchi. CME INDIA Case Study What is this? RHD Post BMV long back. Sunus Rhythm. No fever. CME INDIA Discussion: Dr Vivek Gupta, Surat: LA Thrombus... Dr Sandeep: Mobile LA thrombus sir?? Dr S K...
A young patient presented with acute onset LMN type of quadriparesis. Other vitals are WNL.
CME INDIA Case Presentation by Dr Mritunjay Kumar Singh, Nephrologist, Physician, Gaya. CME INDIA Case Study ECG done in medical emergency is shown below: CME INDIA Discussion: Dr Bipin Sinha, DM, Card, Delhi: Hypokalaemia, QU waves with QU prolongation in V4 clearly...
A case of Resistant Hypertension, History Solved the Mystery
CME INDIA Case Presentation by Dr Prattay Guha Sarkar, DM, Cardiology, Assistant Professor of Cardiology at Rajendra Institute of Medical Sciences (RIMS), Ranchi. CME INDIA Case Study Case: 65year aged, BMI-32, female, presented with complains of occipital headache,...
Is it MND or Cervical Cord Compression?
CME INDIA Case Presentation by Dr Ashutosh Chandan Dubey (Dr Strange), DNB Med, Bokaro. CME INDIA Case Study CASE: A 50-yr. old male driver by profession, resident of Bokaro with primary education has come with complains of weakness of all 4 limbs which was insidious,...
Is it Pulmonary Embolism or LMCA disease?
CME INDIA Case Presentation by Dr Narendra Kumar, MD, Godda. CME INDIA CASE: 69-year male, diabetic and hypertensive, was under a neurophysician for CVA-for last one year, developed dyspnea since last evening, approximately 24 hours. BP-80/60mm of Hg., no History of...



















